
Wie mittlerweile die neusten Ergebnisse aus verschiedensten Studien zeigen, ist Hüftgelenksdysplasie bei Großhunderassen genetisch veranlagt!!!
Eine große Rolle, ob und in welcher Schwere diese Krankheit ausbricht, spielen in dem Zusammenhang Ernährungs-, Aufzucht- und Umweltprobleme. Daher ist die richtige Fütterung und Bewegung (gerade in der Wachstumsphase) unablässlich. Die Mineralstoffe machen insgesamt nur einen kleinen Teil der Nahrung aus.
Dennoch sind sie für den Körper unentbehrlich; insbesondere Phosphor und Calcium. Beide Mineralstoffe werden überwiegend für den Aufbau und die Härtung der Zähne und Knochen gebraucht. Die Nahrung für einen ausgewachsenen Hunde sollte daher 1,0 - 1,2 g Calcium : 0,8-1,0 g Phosphor in 100g Trockenfutter enthalten. Aufgrund des schnelleren Umsatzes bei Welpen ergibt sich stets ein höherer Bedarf von Calcium gegenüber Phosphor, daher sollte auf das Verhältnis von 1,2- 1,6 : 1 in der Welpennahrung geachtet werden.
Bei Abweichungen kommt es zu ungünstiger Beeinflussung !!! Bei einer längerdauernden Unterversorgung mit Calcium (bei ausschließlicher Ernährung mit Fleisch, Getreide und Innereien) während des Wachstums kann es zu Lahmheit, Bewegungsunlust bis hin zu irreversiblen Skelettveränderungen (z.B. Hüftgelenksdysplasie, Ellenbogendysplasie, Probleme der Wirbelsäule) kommen. Genauso häufig treten jedoch Mineralstoffüberschüsse auf, bedingt durch Zusätze zur bereits ausgewogenen Vollnahrung. Bereits 2-3 Teelöffel Futter- und Mineralkalk zur Vollnahrung erzeugen ein starkes Ungleichgewicht. Durch dieses kann es während des Wachstums bis zur Gliedmaßenverkrümmung führen.
!!! Welpennahrung sollte nicht länger als bis zur 12. bzw. 16. Lebenswoche (je nach Futtersorte) gegeben werden !!!
Danach sollte der Hund auf ein Futter für erwachsene Hunde umgestellt werden, denn es enthält weniger Proteine und Fette und bewirkt somit ein langsames und gleichmäßiges Wachstum.
Die Endgröße des Hundes ist genetisch vorbestimmt- er bekommt sie so oder so.
Man kann die zu energiereiche Fütterung eines Hundes sehr gut vergleichen mit der Aufzucht von Schlachttieren, diese sollen möglichst schnell groß und schwer werden - beim Hund ist genau das Gegenteil der Fall. Sie sollen möglichst langsam und gleichmäßig wachsen
Also: Finger weg von Futterzusätzen und Welpenfutter ab dem 4. Lebensmonat!!!!
Ebenso wichtig ist es, einen Welpen nicht zu überfordern mit zuviel Bewegung. Er ist im Prinzip wie ein kleines Kind und mit einem kleinen Kind würde kein Mensch auf die Idee kommen, zum Joggen zu gehen. Achten Sie darauf, daß der Welpe seine natürlichen Ruhephasen einhält und vermeiden Sie ständiges Toben und Spielen mit anderen Hunden, denn das kann fatale Auswirkungen bei der Entwicklung der Knochen des Hundes haben.
Es gilt die Faustregel: Pro Lebensmonat 5 Minuten.
Ins Auto rein- und rausspringen, sowie ständiges Treppensteigen oder hinter Bällen hinterherjagen, sind in den ersten Monaten ebenfalls tabu.
Mir als Züchter bleibt immer fast das Herz stehen, wenn ich sehe, wie "schön" die Hunde hochspringen, um ihren geliebten Ball zu fangen.
Nehmen Sie sich die Zeit und lassen Sie sich ausgiebig von einem Fachmann oder ihrem Züchter beraten, denn das, was in den ersten Lebensmonaten bei falscher Fütterung und Bewegung entsteht, ist ein Schaden, der nicht mehr wieder gutzumachen ist. In der Regel wird Ihnen ein guter Züchter immer eine Fütter- und Pflegeanleitung mitgeben, in der Sie auch einige gute Tipps zur Ernährung, Pflege und Erziehung finden sollten.
Hier nun einige HD Röntgenbilder:
|
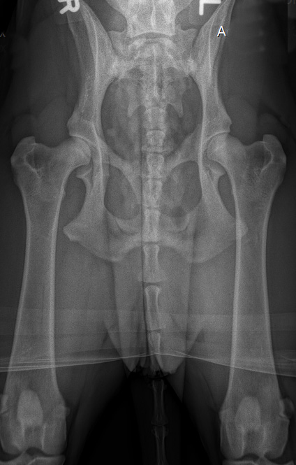
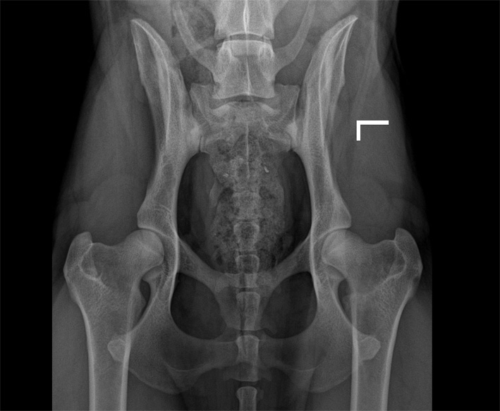
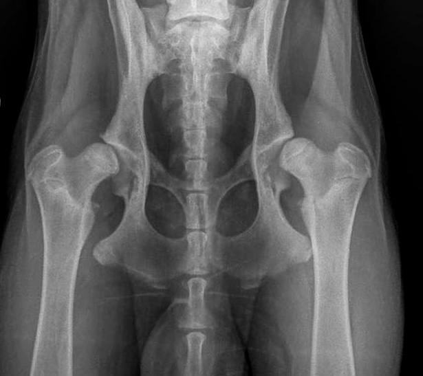
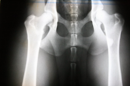
HD frei / HD- A / HD-0 / HD-normal |
![]() HD fast-normal / HD-B / HD-1 |
![]() HD-C/ HD-leicht/HD-2 (ab diesem Befund wird im ADRV e.V. kein Hund mehr zur Zucht zugelassen) |
![]() HD-D/ HD-mittel/ HD 3 |
![]() |
| HD:E/HD-schwer/HD 4-5 |
|
A |
= HD-frei |
HD-0 |
normal |
Normal, unauffällige Gelenke, NORBERG-Winkel von 105 Grad oder mehr |
|
B |
= Übergangsform |
HD-1 |
fast-normal |
Fast normal, geringe Veränderungen an Kopf oder Pfanne, NORBERG-Winkel von mindestens 100 Grad |
|
C |
= Grad1 (leicht) |
HD-2 |
leicht |
Leichte Inkongruenz, divergierender Gelenkspalt, NORBERG-Winkel um 100 Grad |
|
D |
= Grad2 (mittelgradig) |
HD-3 |
mittel |
Gravierende Veränderungen mit arthrotischen Zubildungen, NORBERG-Winkel zwischen 90 und 100 Grad |
|
E/1 |
= Grad3 (schwer) |
HD-4 |
schwer |
Das gesamte Gelenk ist stark verändert, evtl. eine vollständige Luxierung, NORBERG-Winkel unter 90 Grad |
|
E/2 |
= Grad4 (sehr schwer) |
HD-5 |
sehr schwer |
|
Einstufung |
Klassifizierung |
Land |
||||
|
Schweiz |
Finnland |
Holland |
Deutschland |
Schweden |
||
|
A1 |
Kein Hinweis für HD |
HD-frei |
Eidispasiaa Hyät |
Negatief geheel gaaf (1) |
Kein Hinweis für HD HD-frei HD-normal |
Utmärkt |
|
A2 |
Eidispasiaa |
Negatief geheel gaaf (5) |
U.A. |
|||
|
B1 |
Übergangsform (HD Verdacht) |
Übergangs- form |
Rajatapaus |
Transitional Case (Tc) |
Übergangsform (HD Verdacht) HD-fast-normal HD-Übergangsform |
|
|
B2 |
I |
|||||
|
C1 |
Leichte HD |
Leichte HD |
I |
Licht positief (3) |
Leichte HD |
|
|
C2 |
||||||
|
D1 |
Mittlere HD |
Mittelgradige HD |
II |
Positief (3 1/2) |
Mittlere HD |
II |
|
D2 |
Positief (4) |
|||||
|
E1 |
Schwere HD |
Schwere HD |
III |
Schwere HD |
III |
|
|
E2 |
Sehr schwereHD |
IV |
Positief optima Forma (5) |
IV |
||